2018-04-27% e, r- v1 H7 M* u
tvb now,tvbnow,bttvb+ {# {7 |; j8 p1 h, q

+ |0 n- l5 y# N5 o$ \公仔箱論壇tvb now,tvbnow,bttvb, q' {$ y2 E: H. B. \0 l" l( {9 U, e
去年第四季共發生5宗嚴重醫療事故,其中一宗是一名有腎功能不全的病人,因呼吸衰竭被送到深切治療部,但卻被誤以為是另一位病人,結果被醫護人員將導管插入右側頸內靜脈,進行血液透析,至檢查文件才發現出錯。
% O: q7 P1 i3 \! b+ z; n5 Xtvb now,tvbnow,bttvb至於另外四宗嚴重醫療事故,3宗涉及遺留醫療物料在病人體內,1宗院內病人自殺。
( g/ q; p, C! m! ^$ `TVBNOW 含有熱門話題,最新最快電視,軟體,遊戲,電影,動漫及日常生活及興趣交流等資訊。! w$ x# {% k0 {: K# B# k

3 `# M3 P8 l! E& S7 }9 }- gtvb now,tvbnow,bttvb去年第四季發生了5宗嚴重醫療事故。(視覺中國圖片)tvb now,tvbnow,bttvb i1 b/ n4 h' M, Q1 T0 O
& e+ @" a5 q( Y6 _2 ~# Z* \$ q公仔箱論壇病人甲為一名腎功能不全的患者,因呼吸衰竭被送到深切治療部,已接受連續性腎臟替代療法,並沒有需要洗血。病人乙因急性腎病急需接受連續性腎臟替代療法及進行血液透析。但最終病人甲被帶到手術室及簽署手術同意書,醫護人員為病人甲的右側頸內靜脈插入血液透析導管,至術後檢查文件才發現出錯,而涉事病人乙亦於事後獲安排洗血。TVBNOW 含有熱門話題,最新最快電視,軟體,遊戲,電影,動漫及日常生活及興趣交流等資訊。) V- H; ?$ [1 l1 N, L/ _2 ?
+ R/ h# Q2 q. |9 L
醫管局指事件中手術介入程序並沒有預約系統,團隊在程序上安全的概念不足及得到病人同意接受手術的過程並不滿意,建議要加強安全意識及確保病人在術前清楚、準確得悉手術內容。
, I( d1 W4 R3 v0 p# d# ^. @% {tvb now,tvbnow,bttvb
$ M/ i; m/ o( V公仔箱論壇
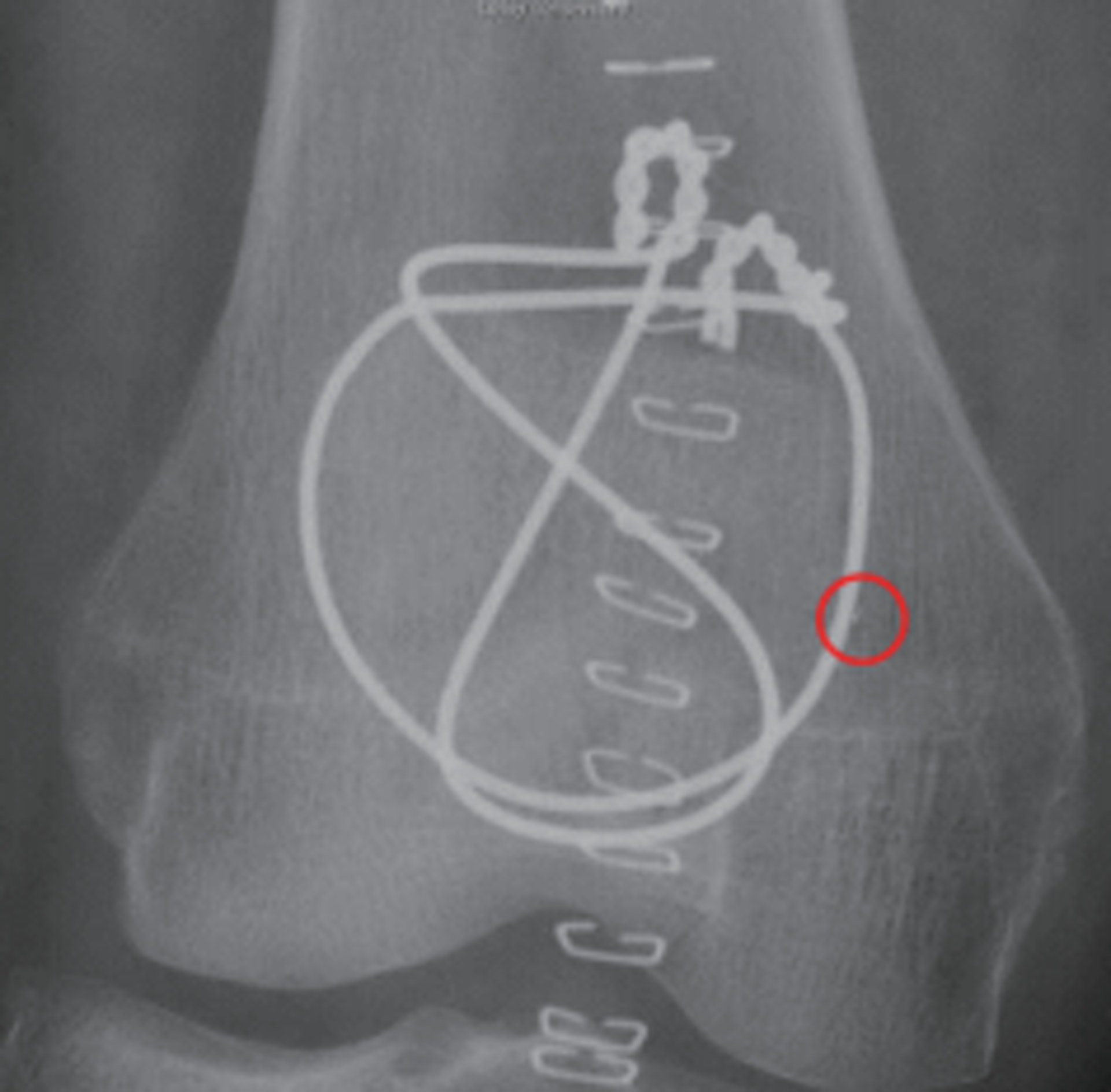
+ U7 l& t- |0 z6 stvb now,tvbnow,bttvb一位病人在術後發現右腳髕骨內側有異物。(風險通報圖片)
1 p v0 H8 D4 Y; _ \" Fos.tvboxnow.comtvb now,tvbnow,bttvb7 P3 x5 o8 s5 J+ ?, E# \3 P( s0 K t
此外,風險通報中發現三宗涉及遺留醫療物料在病人體內的事故,漏留的物質包括導絲、紗布卷及一未被確定的異物。當中一名因右側髕骨骨折的患者進行手術固定,術後照X光發現患者右髕骨的內側發現0.9 x 0.4mm的異物,最後決定不移除異物。
; Y6 W+ l: ~- n7 J7 a
7 y8 S4 [; ]6 v# i( Z/ V未跟指引做檢查 遺漏導絲在病人體內
+ R4 u e' S" ^. [; }9 G, Gos.tvboxnow.com一名確診橫貫性脊髓炎的病人對大劑量的類固醇無反應,因此需以「血漿除去法」、即類似洗血治療,醫生在手術期間為病人進行雙腔導管置入術後,遺漏了導絲在病人的胸腔。醫護人員進行術後檢查時,雖然找不到該導絲,但檢查清單上的「導絲」一欄被打上剔號。至手術翌日,醫護人員為病人胸部照X光片時才發現該遺漏的導絲,導絲之後被完整取出。# J8 t# }, i8 d3 d) G6 S
2 ?- G* j: f1 S/ Y事件反映有醫護未完全跟從術後檢查的指引,而由於雙腔導管置入術並非常見手術,因此部份人員並不熟悉相關程序。醫管局建議醫護人員應嚴格遵守檢查清單的指引,並加強對員工的培訓,醫院亦可考慮增設多一個檢查步驟,以確保手術完結前已移除所有導絲。
0 S% [8 x4 f! @. [: I* r/ s5 R0 V7 Tos.tvboxnow.com
3 t0 [. D1 A B1 E! E+ t" P另一宗個案是一名是右邊大腿膿腫及右膝化膿性關節炎的病人,需緊急進行手術將膿腫切開及引流,該手術共用了三卷紗布為傷口包紮,但紀錄只顯示用了兩卷紗布,至術後第二天至第五天,醫護人員為病人換敷料時均未有為意,至手術後第六天為病人傷口清創時,才發現有一卷紗布被遺留在傷口內。TVBNOW 含有熱門話題,最新最快電視,軟體,遊戲,電影,動漫及日常生活及興趣交流等資訊。; ^+ H6 S* o( o: _1 U; E
/ p: O) s r: Z3 u @os.tvboxnow.com妄想症病人院內自殺
1 V) X2 B8 U0 E6 |* _os.tvboxnow.com另外,一名被診斷為妄想症的病人於院內因偏執想像而被轉到精神病房,一周後病人被指情況有明顯改善,被允許參加精神科職業治療的培訓,惟兩周後病人突然衝出廁所並跑出醫院,最終被發現身體掛在醫院附近的住宅大樓的架上,送院後證實不治。報告建議應在精神科職業治療部門安裝門禁系統,加強控制,防止病人潛逃。 |